【 顎関節、出歯、乱杭、抜歯、1年 3ヶ月 】
【 顎関節痛、前歯が出ている、デコボコ、顎の歪み をブラケット装着期間 1年 3ヶ月で 】







【 治療期間:2021年9月19日~2022年6月22日、 1年 9ヶ月、その中でブラケット装着期間は 1年 3ヶ月 】
【 治療回数 22回 】
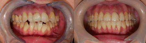
主訴:顎関節痛、八重歯、ねじれた歯、ガタガタ
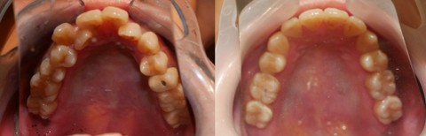
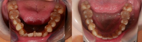
抜歯症例
まず、開閉運動を改善し、顎関節痛が消退しました。その後、ブラケットを装着し、側方運動を改善しました。
仕上げに上顎の犬歯を笑顔になった時の唇の形に沿うようにすることでより可愛い歯並びを目指しました。
審美面においては
・口ゴボの改善
・人中の短縮
・ガミースマイルの解消
・下顎と顔面正中の一致
・輪郭線の左右対称性
・額角(エラ)の減少
・輪郭の改善
・小顔化、下顔面高の短縮
・オトガイの梅干し状のシワの解消
・口角の左右対称
・口角が上がる笑顔
・ほうれい線の消退
などに配慮して治療しています