症例13・ ガミー、出歯、抜歯、2年4ヶ月 - 代々木矯正歯科診療所
YOYOGI KYOUSEISHIKA SHINRYOUJYO
X
代々木矯正歯科診療所
×
特徴のご紹介
施設のご紹介
院長のご紹介
協力歯科医院のご紹介
症例01・ 出歯、1年1ヶ月
症例02・ 顎関節、出歯、乱杭、抜歯、1年3ヶ月
症例03・ 受け口、小児、非抜歯、1年3ヶ月
症例04・ ガミー、乱杭、非抜歯、6ヶ月
症例05・ 顎曲、非抜歯、10ヶ月
症例06・ 乱杭、非抜歯、1年
症例07・ 他院リカバリー、 既抜歯済、7ヶ月
症例08・ 出歯、非抜歯、6ヶ月
症例09・ ガミー、耳、1ヶ月(途中経過)
症例10・ エラ、5ヶ月(途中経過)
症例11・ ガミー、ディープ、 非抜歯、5ヶ月
症例12・ 乱杭、非抜歯、1年5ヶ月
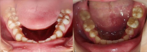
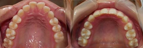
症例13・ ガミー、出歯、抜歯、2年4ヶ月
症例14・ 出歯、乱杭、抜歯、2年
症例15・ 出歯、エラ、抜歯、2年
症例16・ 顎ズレ、ガミー、4ヶ月 、途中経過
症例17・ 開口、ガミー、非抜歯、1年
症例18・ 出歯、乱杭、非抜歯、実質2年2ヶ月
症例19・ 開口、乱杭、非抜歯、1年9ヶ月
症例20・ 出歯、乱杭、抜歯、2年
症例21・ 口ゴボ、2ヶ月、途中経過
症例22・ 口ゴボ、ガミー、3ヶ月半、途中経過
症例23・ 乱杭、受け口、1ヶ月半、途中経過
症例24・ 乱杭、前突、2年10ヶ月
症例25・ ディープ、顎関節症、4ヶ月、途中経過
← Menu
← ツイッターはこのボタンからどうぞ
×
特徴のご紹介
施設のご紹介
院長のご紹介
協力歯科医院のご紹介
症例01・ 出歯、1年1ヶ月
症例02・ 顎関節、出歯、乱杭、抜歯、1年3ヶ月
症例03・ 受け口、小児、非抜歯、1年3ヶ月
症例04・ ガミー、乱杭、非抜歯、6ヶ月
症例05・ 顎曲、非抜歯、10ヶ月
症例06・ 乱杭、非抜歯、1年
症例07・ 他院リカバリー、 既抜歯済、7ヶ月
症例08・ 出歯、非抜歯、6ヶ月
症例09・ ガミー、耳、1ヶ月(途中経過)
症例10・ エラ、5ヶ月(途中経過)
症例11・ ガミー、ディープ、 非抜歯、5ヶ月
症例12・ 乱杭、非抜歯、1年5ヶ月
症例13・ ガミー、出歯、抜歯、2年4ヶ月
症例14・ 出歯、乱杭、抜歯、2年
症例15・ 出歯、エラ、抜歯、2年
症例16・ 顎ズレ、ガミー、4ヶ月 、途中経過
症例17・ 開口、ガミー、非抜歯、1年
症例18・ 出歯、乱杭、非抜歯、実質2年2ヶ月
症例19・ 開口、乱杭、非抜歯、1年9ヶ月
症例20・ 出歯、乱杭、抜歯、2年
症例21・ 口ゴボ、2ヶ月、途中経過
症例22・ 口ゴボ、ガミー、3ヶ月半、途中経過
症例23・ 乱杭、受け口、1ヶ月半、途中経過
症例24・ 乱杭、前突、2年10ヶ月
症例25・ ディープ、顎関節症、4ヶ月、途中経過
← Menu
コンテンツに移動します
【
ガミー、
出歯、
抜歯、
2年4ヶ月
】
【
ガミースマイル、前突感、顎の痛み を
ブラケット装着期間
1年11ヶ月で
】
審美面においては
・口ゴボの改善
・人中の短縮
・ガミースマイルの解消
・下顎と顔面正中の一致
・輪郭線の左右対称
性
・額角(エラ)の減少
・輪郭の改善
・小顔化、下顔面高の短縮
・オトガイの梅干し状のシワの解消
・口角の左右対称
・口角が上がる笑顔
・ほうれい線の消退
などに配慮して治療しています
コンテンツに戻る
このWebサイトを使用するには、JavaScript を有効にする必要があります。