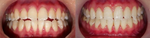
【 開口、 ガミー、非抜歯、1年 】
【 開口(オープンバイト)、 ガミースマイル を ブラケット装着期間 1年 で 】





【 治療期間:2021年7月27日~2022年12月9日、1年4ヶ月12日、その中でブラケット装着期間は 1年0ヶ月24日 】
【 治療回数 18回 】(無料応急処置1回)
主訴:開口(オープンバイト)、ガミースマイル、前突感
非抜歯症例
【 ヘッドギア使用期間1年1ヶ月27日 】
ヘッドギアの治療効果はなにより患者さんの努力の賜物です。
患者さんのご厚意で写真にモザイクをかけるだけで掲載しています。
初めに施術する顎位を整える治療で顎の歪みは解消しました。
当院ではアンカースクリューをはじめ一切、侵襲を伴う外科的治療はいたしません。
患者さんに美容整形外科処置はありません。
顎を本来の位置に整えると、スッキリとした輪郭になり、ほうれい線が浅くなり、頬の歪みが取れる事で、ツルツルとした肌の印象になります。
下顔面が小さくなる事で相対的に目が大きくなります。
すると視線もしっかりと感じられ、さらにフェミニンな魅力が加わった眼差しになりました。
すると視線もしっかりと感じられ、さらにフェミニンな魅力が加わった眼差しになりました。
笑顔で頬が盛り上がらなくなり、笑顔の目が大きくなりました。
顎の歪みが解消した事と口角が上がるようになった事とで、無理のない優しくフワッと持ち上がる穏やかで柔らかな笑顔になりました。
可愛いCカールとなり、さらにはなんと小鼻も小さくなり、歪みのないキュッと締まった鼻になりました。
このように顎の歪みを治療する事で顔貌は大きく改善します。
最終段階まで上の前歯にブラケットを付けない表側のワイヤー矯正治療です。
審美面においては
・口ゴボの改善
・人中の短縮
・ガミースマイルの解消
・下顎と顔面正中の一致
・輪郭線の左右対称性
・額角(エラ)の減少
・輪郭の改善
・小顔化、下顔面高の短縮
・オトガイの梅干し状のシワの解消
・口角の左右対称
・口角が上がる笑顔
・ほうれい線の消退
などに配慮して治療しています