【 出歯、1年 1ヶ月 】
【 出歯 をブラケット装着期間 1年 1ヶ月で 】





【 治療期間:2021年1月30日~2022年6月21日、 1年 4ヶ月、その中でブラケット装着期間は 1年 1ヶ月 】
【 治療回数 23回 】
主訴:前突感
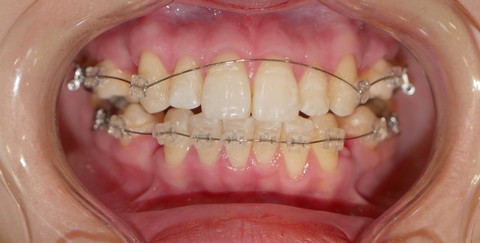
目立たない矯正治療を希望
抜歯症例
虫歯をきれいに修復してあるので傷つけないように慎重に治療しました。
かみ合わせが不安定なため、まず最初に顎運動などのお口の機能を治療し、顎を開閉するときにブレずに真っ直ぐ咬めるようにしました。
仕上げに上顎の犬歯を笑顔になった時の唇の形に沿うようにすることでより可愛い歯並びを目指しました。
審美面においては
・口ゴボの改善
・人中の短縮
・ガミースマイルの解消
・下顎と顔面正中の一致
・輪郭線の左右対称性
・額角(エラ)の減少
・輪郭の改善
・小顔化、下顔面高の短縮
・オトガイの梅干し状のシワの解消
・口角の左右対称
・口角が上がる笑顔
・ほうれい線の消退
などに配慮して治療しています
当院でのワイヤーを用いた表側からの治療方法は「独自の上の前歯四本にブラケットを付けない方法」で目立たたず、モコッとならないと喜ばれています。
さらにはブラケットが発音障害の原因になりません。



友達にも矯正をしている事に気付かれないそうです。
裏側やマウスピースでなくてもこんなに目立ちません。
表側からの矯正ですから、舌の痛みも無く、歯の動きもスムーズです。