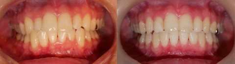
【 ガミー、乱杭、非抜歯、6ヶ月 】
【 ガミースマイル、乱杭、 をブラケット装着期間 6ヶ月で 】





【 治療期間:2021年2月16日~2021年11月1日、 8ヶ月16日、その中でブラケット装着期間は 6ヶ月13日 】
【 治療回数 16回 】
主訴:歯並びの乱れ、ガミースマイル
非抜歯症例
患者さんは目立たない矯正治療を希望されていることに配慮しました。
虫歯をきれいに修復してあるので傷つけないように慎重に治療しました。
かみ合わせが不安定なため、まず最初に顎運動などのお口の機能を治療し、顎を開閉するときにブレずに真っ直ぐ咬めるようにしました。
歯を抜かないで治療しました。
仕上げに上顎の犬歯を笑顔になった時の唇の形に沿うようにすることでより可愛い歯並びを目指しました。
審美面においては
・口ゴボの改善
・人中の短縮
・ガミースマイルの解消
・下顎と顔面正中の一致
・輪郭線の左右対称性
・額角(エラ)の減少
・輪郭の改善
・小顔化、下顔面高の短縮
・オトガイの梅干し状のシワの解消
・口角の左右対称
・口角が上がる笑顔
・ほうれい線の消退
などに配慮して治療しています