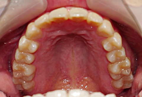
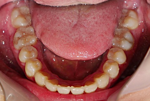
【 出歯、 乱杭、非抜歯、実質2年2ヶ月(中座有り4年) 】
【 ワイヤー調整24回 】






【 治療期間:2018年11月6日~2023年1月31日、4年2ヶ月25日、その中でブラケット装着期間は 3年3ヶ月16日 】
【 中座あり実質2年2ヶ月 】( 治療回数31回、内ワイヤー調整24回 )
主訴:出っ歯、乱杭、前突感
非抜歯症例
審美面においては
・口ゴボの改善
・人中の短縮
・ガミースマイルの解消
・下顎と顔面正中の一致
・輪郭線の左右対称性
・額角(エラ)の減少
・輪郭の改善
・小顔化、下顔面高の短縮
・オトガイの梅干し状のシワの解消
・口角の左右対称
・口角が上がる笑顔
・ほうれい線の消退
などに配慮して治療しています