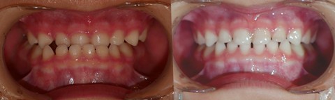
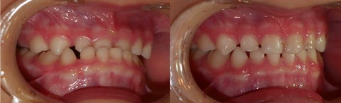
【 受け口、小児、非抜歯、1年3ヶ月 】
【 小児の受け口 を1年3ヶ月で 】




【 治療期間:2020年11月25日~2022年3月22日、 3歳0ヶ月~4歳4ヶ月、1年3ヶ月 】
【 治療回数 12回 】
主訴:受け口
小児矯正症例
治療への恐怖心を誘発しないよう配慮しました。
親御さんの治療への積極的な姿勢が治療の成果に繋がりました。
小児の矯正治療は育成治療として取り組んでいます。
顔面および下顎骨格の整った発育が目標です。
矯正治療が小児の精神発達に差し障らないように配慮しています。