【 エラ、5ヶ月(途中経過)】
【 エラの張り を5ヶ月で 】





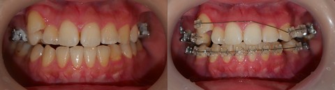
【 治療期間:2022年2月21日~2022年8月10日、 5ヶ月20日、その中でブラケット装着期間は 2ヶ月20日 】
【 治療回数 8回 】
主訴:乱杭、エラの張り
抜歯症例【 途中経過 】
患者さんのご好意で写真そのままの掲載をお許しいただきました。
審美面においては
・口ゴボの改善
・人中の短縮
・ガミースマイルの解消
・下顎と顔面正中の一致
・輪郭線の左右対称性
・額角(エラ)の減少
・輪郭の改善
・小顔化、下顔面高の短縮
・オトガイの梅干し状のシワの解消
・口角の左右対称
・口角が上がる笑顔
・ほうれい線の消退
などに配慮して治療しています
当院でのワイヤーを用いた表側からの治療方法は「独自の上の前歯四本にブラケットを付けない方法」で目立たたず、モコッとならないと喜ばれています。
さらにはブラケットが発音障害の原因になりません。

友達にも矯正をしている事に気付かれないそうです。
裏側やマウスピースでなくてもこんなに目立ちません。
表側からの矯正ですから、舌の痛みも無く、歯の動きもスムーズです。
歯の水平移動には「傾斜移動」と「歯体移動」とがあります。矯正力は歯根膜にかかるため、力点が、歯頚部あたりの歯根膜に近い方が「歯体移動」に有利であり、切端あたりの歯根膜に遠い方が傾斜移動に有利です。前歯4本にブラケットを着けずに歯を動かすのは、審美的効果と、歯体移動の効果の為なのです。