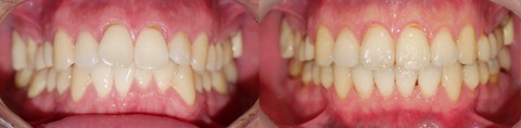
【 乱杭、非抜歯、1年5ヶ月 】
【 上下のデコボコ をブラケット装着期間 1年3ヶ月で 】





【 治療期間:2021年3月22日~2022年8月23日、 1年5ヶ月1日、その中でブラケット装着期間は 1年3ヶ月13日 】
【 治療回数 40回 】(無料応急処置4回)
主訴:上下のデコボコを治したい
非抜歯症例
【 ヘッドギア使用期間1年3ヶ月22日 】
初診時の額運動は、最大開口から閉じる時に、前から見ると、大きく左に動き、さらには右へとジグザグな動きをし、横から見ると、一旦大きく前方に出てから閉じていました。
それらの症状は、下の動画のように、真っ直ぐな額運動に改善しました。
審美面においては
・口ゴボの改善
・人中の短縮
・ガミースマイルの解消
・下顎と顔面正中の一致
・輪郭線の左右対称性
・額角(エラ)の減少
・輪郭の改善
・小顔化、下顔面高の短縮
・オトガイの梅干し状のシワの解消
・口角の左右対称
・口角が上がる笑顔
・ほうれい線の消退
などに配慮して治療しています