【 出歯、エラ、抜歯、2年 】
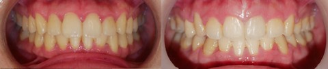
【 前歯が出ている、デコボコ、エラの張り をブラケット装着期間 1年10ヶ月で 】





【 治療期間:2020年9月12日~2022年10月18日、 2年1ヶ月6日、その中でブラケット装着期間は 1年10ヶ月6日 】
【 治療回数 28回 】(無料応急処置2回)
主訴:前歯が出ている、デコボコ、顎の歪み
抜歯症例
【 ヘッドギア使用期間1年11ヶ月3日 】
ヘッドギアの治療効果はなにより患者さんの努力の賜物です。
患者さんのご厚意で写真にモザイクをかけるだけで掲載しています。
初めに施術する顎位を整える治療で顎の歪みは解消しました。
当院ではアンカースクリューをはじめ一切、侵襲を伴う外科的治療はいたしません。
患者さんに美容整形外科処置はありません。
顎を本来の位置に整えると、スッキリとした輪郭になり、ほうれい線が浅くなり、頬の歪みが取れる事で、ツルツルとした肌の印象になります。
下顔面が小さくなる事で相対的にグッと目が大きくなります。
すると視線もしっかりと感じられ、さらにフェミニンな魅力が加わった眼差しになりました。
笑顔は顎の歪みが解消した事と口角が上がるようになった事とで無理のない優しくフワッと持ち上がる穏やかで柔らかな笑顔になりました。
また、笑うときに細くなっていた目も、大きく開くようになりました。
可愛いCカールとなり、さらにはなんと小鼻も小さくなり、歪みのないキュッと締まった鼻になりました。
このように顎の歪みを治療する事で顔貌は大きく改善します。
審美面においては
・口ゴボの改善
・人中の短縮
・ガミースマイルの解消
・下顎と顔面正中の一致
・輪郭線の左右対称性
・額角(エラ)の減少
・輪郭の改善
・小顔化、下顔面高の短縮
・オトガイの梅干し状のシワの解消
・口角の左右対称
・口角が上がる笑顔
・ほうれい線の消退
などに配慮して治療しています