【 ガミー、ディープ、 非抜歯、5ヶ月 】
【 ガミースマイルを伴うディープバイトをブラケット装着期間は 5ヶ月で 】








【 治療期間:2020年7月7日~2021年4月25日、 8ヶ月14日、その中でブラケット装着期間は 5ヶ月15日 】
【 治療回数 15回 】(無料応急処置1回)
主訴:11月 の結婚式までに 8ヶ月 でガミースマイルを治したい
非抜歯症例
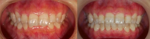
ガミースマイルを伴うディープバイト症例
結婚式の 11月23日から逆算して、治療計画を作りました。
顔が長くならずにディープバイトを改善しました。
垂直成分の改善には大臼歯をコントロールします。その大きな要素がヘッドギアです。上顎骨への働きと共に咬合平面をコントロールすることで、ディープバイトを改善しつつ小顔な印象の下顔面高を実現しました。
ヘッドギアの治療効果はなにより患者さんの努力の賜物です。
【 ヘッドギア使用期間5ヶ月25日 】
結婚式の 11月23日から逆算して、治療計画を作りました。
間に合ってよかったと喜んでいただけて嬉しかったです。
患者さんのご厚意で写真そのままを掲載させていただきます。
結婚式の写真も掲載させていただく事ができました。
結婚式までの8ヶ月でガミースマイルを治療した症例です。
当院ではアンカースクリューをはじめ一切、侵襲を伴う外科的治療はいたしません。
患者さんに美容整形外科処置はありません。
顎を本来の位置に整えると、スッキリとした輪郭になり、ほうれい線が浅くなり、頬の歪みが取れる事で、ツルツルとした肌の印象になります。
下顔面が小さくなる事で相対的にグッと目が大きくなります。
すると視線もしっかりと感じられ、さらにフェミニンな魅力が加わった眼差しになりました。
笑顔はガミースマイルが解消した事と口角が上がるようになった事とで無理のない優しくフワッと持ち上がる穏やかで柔らかな笑顔になりました。
曲がっていた人中も真っ直ぐになり小さくなりました。そのため、クルリと可愛いCカールとなり、さらにはなんと小鼻も小さくなり、存在感の少ないキュッと締まった鼻になりました。
このようにガミースマイルは歯を外科的に引き上げるような治療ではなく、顎を本来の位置に整える治療で改善します。
審美面においては
・口ゴボの改善
・人中の短縮
・ガミースマイルの解消
・下顎と顔面正中の一致
・輪郭線の左右対称性
・額角(エラ)の減少
・輪郭の改善
・小顔化、下顔面高の短縮
・オトガイの梅干し状のシワの解消
・口角の左右対称
・口角が上がる笑顔
・ほうれい線の消退
などに配慮して治療しています