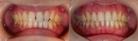
【 顎曲、非抜歯、10ヶ月 】
【 顎の曲がり をブラケット装着期間 10ヶ月で 】





【 治療期間:2020年10月4日~2021年11月9日、 1年1ヶ月、その中でブラケット装着期間は 10ヶ月 】
【 治療回数 27回 (無料応急処置2回)】
主訴:顎の曲がり
非抜歯症例
患者さんは顎が曲がっていることをお悩みでした。
顎関節症の治療を優先しました。顎運動も真っ直ぐになり、顎関節症も無くなりました。
大きくズレていた正中を合わせました。
歯を抜かないで治療しました。
仕上げに上の前歯を少し内側に傾けてより可愛い歯並びを目指しました。
審美面においては
・口ゴボの改善
・人中の短縮
・ガミースマイルの解消
・下顎と顔面正中の一致
・輪郭線の左右対称性
・額角(エラ)の減少
・輪郭の改善
・小顔化、下顔面高の短縮
・オトガイの梅干し状のシワの解消
・口角の左右対称
・口角が上がる笑顔
・ほうれい線の消退
などに配慮して治療しています