【 他院リカバリー、 既抜歯済、 7ヶ月 】
【 他院で抜歯矯正済みのリカバリー症例、 ブラケット装着期間 7ヶ月 で 】





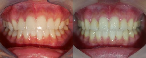
【 治療期間:2020年9月7日~2021年9月6日、 11ヶ月30日、その中でブラケット装着期間は 7ヶ月29日 】
【 治療回数 14回 】
主訴:他院で抜歯して矯正治療を受けたが、口元が出ている、ガミースマイル、歯がズレている
他院での抜歯症例のリカバリー症例
まず、開閉運動を改善し、その後、ブラケットを装着し、上下のかみ合わせを改善しました。
ヘッドギアを一所懸命使っていただけてとても助かりました。
ほうれい線は薄くなり、ツルっとした美味しいゆで卵のような笑顔になりました。
キュッと締まった真っ直ぐな横顔になりました。
審美面においては
・口ゴボの改善
・人中の短縮
・ガミースマイルの解消
・下顎と顔面正中の一致
・輪郭線の左右対称性
・額角(エラ)の減少
・輪郭の改善
・小顔化、下顔面高の短縮
・オトガイの梅干し状のシワの解消
・口角の左右対称
・口角が上がる笑顔
・ほうれい線の消退
などに配慮して治療しています