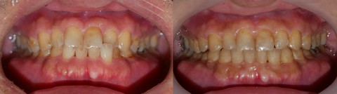
【 乱杭、非抜歯、1年 】
【 上下のかみ合わせのズレ をブラケット装着期間 1年で 】





【 治療期間:2020年11月29日~2022年4月7日、 1年 4ヶ月、その中でブラケット装着期間は 1年 0ヶ月 】
【 治療回数 32回 】
主訴:上下のかみ合わせのズレ
非抜歯症例
まず、開閉運動を改善し、その後、ブラケットを装着し、上下のかみ合わせを改善しました。
患者さんからは、治療開始2ヶ月、6回目の治療の時、「笑ったときに口角が上がるようになり感激しました。長年の悩みでした」とのお言葉をいただきました。
審美面においては
・口ゴボの改善
・人中の短縮
・ガミースマイルの解消
・下顎と顔面正中の一致
・輪郭線の左右対称性
・額角(エラ)の減少
・輪郭の改善
・小顔化、下顔面高の短縮
・オトガイの梅干し状のシワの解消
・口角の左右対称
・口角が上がる笑顔
・ほうれい線の消退
などに配慮して治療しています