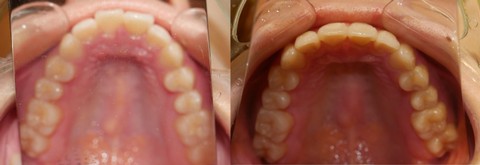
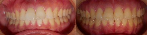
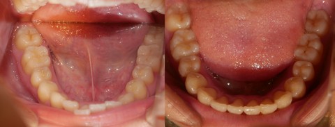
【 出歯、非抜歯、6ヶ月 】
【 出っ歯 をブラケット装着期間 6ヶ月で 】







【 治療期間:2020年7月7日~2021年4月25日、 9ヶ月18日、その中でブラケット装着期間は 6ヶ月13日 】
【 治療回数 15回 】(無料応急処置2回)
主訴:5月 の結婚式までに 10ヶ月 で出っ歯を治したい
非抜歯症例
結婚式の 5月 から逆算したうえで、余裕ある治療計画と審美的改善要素を意識しました。
間に合ってよかったと喜んでいただけて嬉しかったです。もしかすると、先生が一番喜んでいたのかも知れません。
審美面においては
・口ゴボの改善
・人中の短縮
・ガミースマイルの解消
・下顎と顔面正中の一致
・輪郭線の左右対称性
・額角(エラ)の減少
・輪郭の改善
・小顔化、下顔面高の短縮
・オトガイの梅干し状のシワの解消
・口角の左右対称
・口角が上がる笑顔
・ほうれい線の消退
などに配慮して治療しています